Briarcliff Center
for Esthetic Dentistry
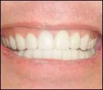
Before and After Dental Photos - Smile Makeovers Briarcliff Manor,NY